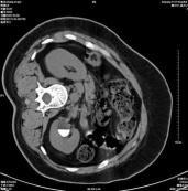
肾钙乳(calcium milk of the kidney)是指肾盏憩室内含钙微粒组成的混悬液,实际上是一种特殊类型的尿石症。由于重力的关系,钙乳微粒的位置随体位的改变而有变化,其形成与尿路梗阻、尿液浓缩、慢性炎症有关。分为两种类型:①囊肿型,多在肾上盏;②积水型,肾下盏多见。
- 疾病介绍
 
相关疾病
  - 
急性风湿热肾损害
628健康网为您分享有关急性风湿热肾损害的症状,急性风湿热肾损害的治疗方法,急性风湿热肾损害的预防知识,急性风湿热肾损...
 - 
先天性无转铁蛋白血症
628健康网为您分享有关先天性无转铁蛋白血症的症状,先天性无转铁蛋白血症的治疗方法,先天性无转铁蛋白血症的预防知识...
 - 
尿路软斑症
628健康网为您分享有关尿路软斑症的症状,尿路软斑症的治疗方法,尿路软斑症的预防知识,尿路软斑症的症状图片,尿路软斑症...
 - 
良性高血压性小动脉性肾硬化
628健康网为您分享有关良性高血压性小动脉性肾硬化的症状,良性高血压性小动脉性肾硬化的治疗方法,良性高血压性小动脉性...
 
版权声明:
1、本站内容仅做参考,不能作为诊断及医疗的依据!
2、本文内容来源于网络或会员发布,版权归原网站所有。
3、本站仅提供信息展示,不承担相关法律责任。





